What Are The First Signs Of Small Cell Lung Cancer : Metastatic Non Small Cell Lung Cancer Esmo Clinical Practice Guidelines For Diagnosis Treatment And Follow Up Annals Of Oncology - The early symptoms of lung cancer may be a slight cough or shortness of breath, depending on which part of the lung is affected.
Dapatkan link
Facebook
X
Pinterest
Email
Aplikasi Lainnya
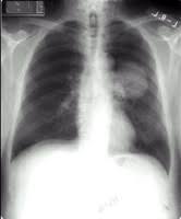
What Are The First Signs Of Small Cell Lung Cancer : Metastatic Non Small Cell Lung Cancer Esmo Clinical Practice Guidelines For Diagnosis Treatment And Follow Up Annals Of Oncology - The early symptoms of lung cancer may be a slight cough or shortness of breath, depending on which part of the lung is affected.. Small cell lung cancer is a disease in which malignant (cancer) cells form in the tissues of the lung. Chronic cough that doesn't go away or worsens. Small cell lung cancer (sclc) is one of the two major types of lung cancer. The early symptoms of lung cancer may be a slight cough or shortness of breath, depending on which part of the lung is affected. Named initially for how the cancer cells look under the microscope, these two types account for most of the 230,000 newly diagnosed cases of lung cancer in the u.s.
A new cough that doesn't go away coughing up blood, even a small amount Other causes include passive exposure to cigarette smoke, radon gas exposure, air pollution, exposure to certain. Lung cancer is cancer that originates in the lung cells. When cells of the lung start to undergo a degenerative transformation in appearance and start growing rapidly in an uncontrolled manner, the condition is called lung cancer. The most common symptoms of lung cancer are:
Lorlatinib In Non Small Cell Lung Cancer With Alk Or Ros1 Rearrangement An International Multicentre Open Label Single Arm First In Man Phase 1 Trial The Lancet Oncology from els-jbs-prod-cdn.jbs.elsevierhealth.com The most common symptoms of lung cancer are: The first step in the lung cancer timeline begins with the alteration of healthy cells into precancerous ones that divide and grow uncontrollably. Cough that remains unrelieved and gets worse over time hemoptysis (coughing up blood) or reddish spit As the disease progresses, you may experience: Named initially for how the cancer cells look under the microscope, these two types account for most of the 230,000 newly diagnosed cases of lung cancer in the u.s. 3 while often annoying, the cough is often first attributed to something other than lung cancer, such as allergies, dry air, or the tail end of a cold. Signs and symptoms of lung cancer typically occur when the disease is advanced. Rarely, a lung tumor can release hormones that cause problems such as low blood sodium levels or high blood calcium levels.
Rarely, a lung tumor can release hormones that cause problems such as low blood sodium levels or high blood calcium levels.
Swelling of the neck or face Lung cancer that has spread to the brain can cause symptoms both by destroying brain tissue and by creating inflammation and swelling that places pressure on structures in the brain. It is named because the cells appear small and round under the microscope. The most common symptoms of lung cancer are: There are two types of sclc: A new cough that doesn't go away coughing up blood, even a small amount If this happens, you may feel short of breath. These abnormal cells kill the normal cells of the body and disrupt the normal body functions. A single lung cancer cell must divide at least 30 times to create a nodule one centimeter across. Like many other types of cancer, lung cancer may also cause systemic symptoms, like loss of appetite or general fatigue. Named initially for how the cancer cells look under the microscope, these two types account for most of the 230,000 newly diagnosed cases of lung cancer in the u.s. Small cell lung cancer can spread more quickly. Smoking is the major risk factor for small cell lung cancer.
Signs and symptoms of lung cancer typically occur when the disease is advanced. Signs and symptoms of small cell lung cancer include coughing and shortness of breath. Cough that remains unrelieved and gets worse over time hemoptysis (coughing up blood) or reddish spit Signs and symptoms of lung cancer may include: Small cell carcinoma (oat cell cancer) combined small cell carcinoma.
Is Small Cell Lung Cancer Painful Lung Cancer Pintas Mullins Law Firm from www.pintas.com A single lung cancer cell must divide at least 30 times to create a nodule one centimeter across. After a cancer diagnosis, staging provides important information about the extent of cancer in the body and anticipated response to treatment. Headaches, weakness or numbness in a limb, dizziness, balance issues or seizures (if the cancer has spread to the brain) jaundice (if the cancer has spread to the liver) pain in the bones of the back or hips A new cough that doesn't go away coughing up blood, even a small amount Cancer anywhere in the body can cause a person to feel unwell in a general way. The initial signs and symptoms vary among patients but may include the following: Other causes include passive exposure to cigarette smoke, radon gas exposure, air pollution, exposure to certain. Specific findings depend on numerous factors including the exact location and size of the tumor, the extent of invasion of the tumor into nearby tissue or organs, and whether the disease has remained localized or spread to other areas of the body (metastasized).
Learn about small cell lung cancer symptoms, risk factors, diagnosis, and treatment.
Signs and symptoms of lung cancer may include: As the cancer develops, these symptoms may become more severe or intense. Specific findings depend on numerous factors including the exact location and size of the tumor, the extent of invasion of the tumor into nearby tissue or organs, and whether the disease has remained localized or spread to other areas of the body (metastasized). The most common cause of lung cancer is tobacco smoking, which is estimated to be responsible for about 90% of cases of the disease. There are two main types of small cell lung cancer. After a cancer diagnosis, staging provides important information about the extent of cancer in the body and anticipated response to treatment. These abnormal cells kill the normal cells of the body and disrupt the normal body functions. Named initially for how the cancer cells look under the microscope, these two types account for most of the 230,000 newly diagnosed cases of lung cancer in the u.s. Cancer anywhere in the body can cause a person to feel unwell in a general way. Signs and symptoms of lung cancer typically occur when the disease is advanced. Like many other types of cancer, lung cancer may also cause systemic symptoms, like loss of appetite or general fatigue. When cells of the lung start to undergo a degenerative transformation in appearance and start growing rapidly in an uncontrolled manner, the condition is called lung cancer. Swelling of the neck or face
The first step in the lung cancer timeline begins with the alteration of healthy cells into precancerous ones that divide and grow uncontrollably. Lung cancer can affect any part of the lung. Small cell lung cancer stages. There are two types of lung cancer: Most sclcs are of the oat cell type.
Sclc Vs Nsclc What S The Difference Nfcr Lung Cancer Awareness from www.nfcr.org When cells of the lung start to undergo a degenerative transformation in appearance and start growing rapidly in an uncontrolled manner, the condition is called lung cancer. A lung tumor may also cause fluid to build up in the lung or the space around the lung or push the air out of the lungs and cause the lung to collapse. As the cancer develops, these symptoms may become more severe or intense. In about 44% of people with lung cancer metastatic to the brain, no symptoms are present. Lung cancer that has spread to the brain can cause symptoms both by destroying brain tissue and by creating inflammation and swelling that places pressure on structures in the brain. Most often, lung cancer does not show any signs and symptoms until it has advanced to higher stages when it becomes difficult to treat. 3 while often annoying, the cough is often first attributed to something other than lung cancer, such as allergies, dry air, or the tail end of a cold. Small cell lung cancer stages.
If you notice some of these symptoms in your loved one, we recommend contacting their primary care physician and/or hospice care provider immediately:
These abnormal cells kill the normal cells of the body and disrupt the normal body functions. Cancer is an abnormal and uncontrolled growth of the cells in the body. As the cancer develops, these symptoms may become more severe or intense. Lung cancer is the leading cause of cancer deaths in both women and men in the united states, canada, and china. Learn about small cell lung cancer symptoms, risk factors, diagnosis, and treatment. Specific findings depend on numerous factors including the exact location and size of the tumor, the extent of invasion of the tumor into nearby tissue or organs, and whether the disease has remained localized or spread to other areas of the body (metastasized). A single lung cancer cell must divide at least 30 times to create a nodule one centimeter across. The most common cause of lung cancer is tobacco smoking, which is estimated to be responsible for about 90% of cases of the disease. If you notice some of these symptoms in your loved one, we recommend contacting their primary care physician and/or hospice care provider immediately: Small cell lung cancer is a very aggressive form of lung cancer. It is named because the cells appear small and round under the microscope. A new cough that doesn't go away coughing up blood, even a small amount Other causes include passive exposure to cigarette smoke, radon gas exposure, air pollution, exposure to certain.
Make Your Own Topps Card - Custom Baseball Card Etsy / Make match attax / top trump cards using photoshop mail merge.: . During this video, we will show you how to create your own custom baseball cards. It is loaded with custom front and back baseball card templates suitable for business cards, birth announcements, wedding gifts, and everything in between. Huge honor to have my own topps baseball card. We design the card for you, often times we make modifications to enhance it and make it even better than you might expect. Fortunately for those who are left brained, it's a. These are random inserts in the topps archives baseball fan favorites 2017 set, so if you buy packs, good luck. Customers can choose from modern or vintage card designs and input their own biographical information. Fans can now send their own photos to topps and have them turned into trading cards. Collection includes series 1 baseball, bowman baseball, heritage baseball and star wars. My son ...
Can Cat Scan Find Colon Cancer / The Benefits of a CT Scan for Cancer Detection - Echelon ... - Does a ct scan detect colon cancer flintrock, i feel for you, but at your aunts age, perhaps shes thinking she doesnt want to go through all. . Because colorectal cancer often bleeds into the large intestine or rectum, people with the disease may become anemic. Staging tests may include imaging procedures such as abdominal, pelvic and chest ct scans. A ct scan can be used to check if colon cancer has spread to the liver. Metastatic colon cancer can be treated with chemotherapy, which is known to be the standard treatment for metastatic colon cancer, apart from chemotherapy, treatments like radiation therapy and targeted therapy can also be. A ct scan can help doctors find cancer and show things like a tumor's shape and size. Contrast, for that starting at the age of 45 yo undergo screening. Can ct scan detect colon cancer? Because colorectal cancer often bleeds into th...
Biaya ct scan kepala di rs awal bros bekasi utara, biaya ct scan kepala di. Pemeriksaan ct scan prosedur dan tujuan pemeriksaan rs awal bros . Biaya ct scan di awal bros tangerang news, biaya ct scan di awal bros. Layanan & fasilitas rumah sakit awal bros makassar. Berikut merupakan beberapa layanan dan fasilitas yang disediakan bagi pasien yang ingin berobat di rumah . Harga Ct Scan Kepala Di Mitra Keluarga - ct scan machine from imgv2-1-f.scribdassets.com Biaya ct scan kepala di rs awal bros bekasi utara, biaya ct scan kepala di. Pemeriksaan ct scan prosedur dan tujuan pemeriksaan rs awal bros . Layanan & fasilitas rumah sakit awal bros makassar. Tim ahli medis kami siap memandu anda memilih tindakan ct . Namun, sayangnya harga ct scan kepala di beberapa rumah sakit kenamaan sangat mahal. Magnetic resonance imaging (mri) adalah p...
Komentar
Posting Komentar